The Daily Insight.

Connected.Informed.Engaged.

general

Can arachnoid cyst cause seizures

By Andrew Hansen

In many cases, arachnoid cysts do not cause symptoms (asymptomatic). In cases in which symptoms occur, headaches, seizures and abnormal accumulation of excessive cerebrospinal fluid in the brain (hydrocephalus) are common.

Can a cyst on the brain cause epilepsy?

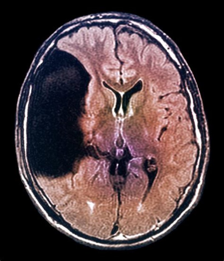
Cerebral radionecrosis may occur as cystic encephalomalasic formations which cover the intracranial region. These cysts may, in rare cases, become quite large. They may cause drug-resistant seizures, neurological deficits and consciousness disorders.

What size is considered a large arachnoid cyst?

Treatment of Arachnoid Cysts The size of arachnoid cysts varies. The average arachnoid cyst size is less than 3 cm. An arachnoid cyst size of 3 cm or greater is considered dangerous.

Is arachnoid cyst life threatening?

Early detection and treatment of arachnoid cysts will help prevent symptoms from developing. If the cyst is allowed to grow, it may put pressure on the brain and spinal cord, leading to permanent neurological complications. Complications of untreated arachnoid cysts can be serious, even life threatening in some cases.

What are the side effects of a cyst on the brain?

  • Headache (common)
  • Nausea and vomiting.
  • Vertigo or dizziness.
  • Hearing or vision problems.
  • Trouble with balance and walking.
  • Facial pain.
  • Seizures (not common)

What happens if an arachnoid cyst bursts?

With modern brain imaging studies, arachnoid cysts are often detected “incidentally”—during imaging tests performed for another reason. Although the cysts usually cause no harm, if they rupture (break open) or bleed, they can cause potentially serious problems requiring emergency treatment.

How do you tell if you've had an absence seizure?

  1. Being very still.
  2. Smacking the lips or making a chewing motion with the mouth.
  3. Fluttering the eyelids.
  4. Stopping activity (suddenly not talking or moving)
  5. Suddenly returning to activity when the seizure ends.

Is arachnoid cyst a disability?

The Veteran’s arachnoid cyst is currently rated noncompensably under Diagnostic Code 8003, which provides disability ratings for new growth of the brain. 38 C.F.R. § 4.124a. Under Diagnostic Code 8003, a minimum 60 percent rating is assigned for benign new growth of the brain.

Is a cyst on the brain fatal?

Some cerebral cysts can become life threatening if they are not treated. Treatment for cerebral cysts depends on the size and location of the cyst. Small cysts that aren’t causing problems usually don’t require treatment.

Can brain cyst be cured by medicine?

Pineal cysts often cause no problems. It is usually possible to manage these by watching for any changes. Tumor cysts can be treated with surgery, radiotherapy, or chemotherapy. These may be done alone or in combination.

Article first time published on

What kind of doctor treats arachnoid cyst?

Mark Souweidane, M.D., is vice chairman of the Weill Cornell Department of Neurological Surgery and director of the Weill Cornell Pediatric Brain and Spine Center, is internationally recognized as an expert in the field of pediatric neurosurgery, including arachnoid cysts.

Can arachnoid cyst cause dizziness?

The most common symptoms associated with arachnoid cysts are usually nonspecific and include headaches, nausea, vomiting, dizziness and the accumulation of excessive cerebrospinal fluid in the brain (hydrocephalus), resulting in increased intracranial pressure In rare cases, in some children, an arachnoid cyst can …

Can an arachnoid cyst cause memory loss?

Local ischaemia induced by compression due to an arachnoid cyst may cause memory dysfunction and behavioural disturbances. 3 Untreated, may cause permanent severe neurological damage due to progressive expansion of the cyst. A variety of neurosurgical procedures may be used to decompress the cyst.

How common is an arachnoid cyst?

In the United States, about 3 children in every 100 have an arachnoid cyst. Most of these cysts never cause any problems or symptoms or need any treatment. Doctors often find arachnoid cysts when they examine a child for another reason, such as after a head injury.

Is a brain cyst a disability?

Benign brain tumors are recognized by the Social Security Administration as a disabling condition, but their broad range of rather symptoms could make your case difficult to prove. However, if a benign brain tumor keeps you from working, you may have a case for receiving Social Security Disability benefits.

What would cause a seizure all of a sudden?

Anything that interrupts the normal connections between nerve cells in the brain can cause a seizure. This includes a high fever, high or low blood sugar, alcohol or drug withdrawal, or a brain concussion.

What happens if absence seizures go untreated?

Absence seizures are a type of epilepsy. They aren’t normally harmful, and most children grow out of them by puberty. But, you should talk to your child’s pediatrician because, untreated, they can affect your child’s life and learning.”

What does a mini seizure feel like?

Simple focal seizures: They change how your senses read the world around you: They can make you smell or taste something strange, and may make your fingers, arms, or legs twitch. You also might see flashes of light or feel dizzy. You’re not likely to lose consciousness, but you might feel sweaty or nauseated.

Can an arachnoid cyst explode?

The rupture of an arachnoid cyst can cause instantaneous and life-threatening symptoms. For this reason, the risk of cyst rupture should always be kept in mind, particularly if changes in the size of the cyst are detected [18].

Can arachnoid cysts turn into tumors?

Arachnoid cysts are the most common type of brain cyst. They are often congenital, or present at birth (primary arachnoid cysts). Head injury or trauma can also result in a secondary arachnoid cyst. The cysts are fluid-filled sacs, not tumors.

Can arachnoid cyst cause mood swings?

Arachnoid cysts may lead to reversible impairments in cognition, executive function, and mood (depression or mania, depending on the laterality of the lesion).

Where is the arachnoid mater?

The arachnoid mater, named for its spiderweb-like appearance, is a thin, transparent membrane surrounding the spinal cord like a loosely fitting sac. Continuous with the cerebral arachnoid above, it passes through the foramen magnum and descends caudally to the S2 vertebral level.

Can you feel an arachnoid cyst?

Arachnoid cysts around the spinal cord compress the spinal cord or nerve roots and cause symptoms such as: Back and leg pain. Tingling or numbness in the legs or arms.

Can arachnoiditis cause paralysis?

Some people with arachnoiditis will have debilitating muscle cramps, twitches, or spasms. It may also affect bladder, bowel, and sexual function. In severe cases, arachnoiditis may cause paralysis of the lower limbs. Arachnoiditis remains a difficult condition to treat, and long-term outcomes are unpredictable.

How do I know if I have had a brain tumor?

First signs and symptoms of a brain tumor may be severe headaches and seizures. Severe, persistent headaches that may not be related to an existing illness such as migraine is considered a common finding in patients with a brain tumor. Pain may be worse in the mornings and may be associated with nausea or vomiting.

What causes an arachnoid cyst in the brain?

What Causes an Arachnoid Cyst? The exact cause of a primary arachnoid cyst is unknown — it develops in a fetus during pregnancy, but nobody knows why. Secondary cysts can be caused by trauma (a fall, accident, or other injury), illness (meningitis or brain tumor), or as a complication of brain surgery.

Should an arachnoid cyst be monitored?

Arachnoid Cysts / Intracranial Cysts An arachnoid cyst that does not cause any symptoms may not require treatment at all — a neurosurgeon might typically recommend follow-up imaging every so often to monitor the cyst’s growth. If an arachnoid cyst is causing symptoms, however, it may be necessary to operate.

Can you exercise with an arachnoid cyst?

Permanent or catastrophic neurological injuries are very unusual in AC patients who participate in athletic activities. In most cases, sports participation by these patients is safe.

Can a cyst cause vertigo?

Vertigo and dizziness. Other symptoms vary depending on the location of the cyst. They include: Middle fossa region: Cysts in this area of the brain can cause problems with vision, hearing, movement and balance.

Is arachnoid cyst neurological disorder?

Untreated, arachnoid cysts may cause permanent severe neurological damage when progressive expansion of the cyst(s) or bleeding into the cyst injures the brain or spinal cord. Symptoms usually resolve or improve with treatment.

Can arachnoid cysts cause dementia?

We have recently treated two patients with advanced age and arachnoid cysts, unusual due to their location and extent. Both of them presented clinically with an organic dementia syndrome with some similarities to that seen in normal pressure hydrocephalus. Both recovered fully after surgery.