The Daily Insight.

Connected.Informed.Engaged.

general

What causes blast cells in blood

By Christopher Green

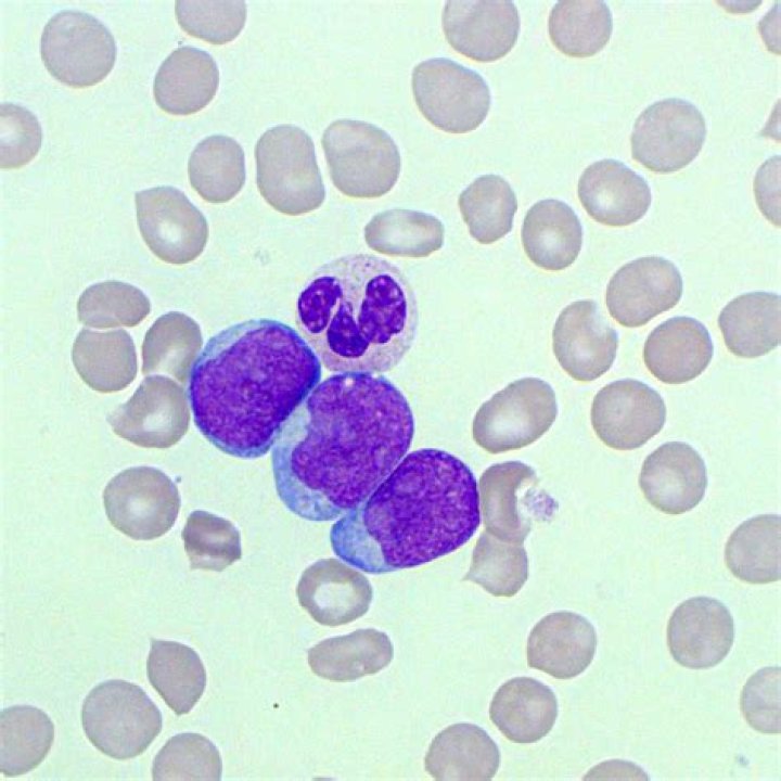
Myelodysplastic syndromes occur when defective, immature blood-forming cells called stem cells do not mature into one or more types of healthy blood cells. Myeloblasts, also called blast cells, may also develop. These are young blood cells produced by stem cells.

What do blast cells indicate?

Acute myeloid leukemia (AML) is a blood cancer. It happens when young abnormal white blood cells called blasts (leukemia cells), begin to fill up the bone marrow , preventing normal blood production. Doctors diagnose AML when 20 out of every 100 white blood cells in the bone marrow is a blast cell .

Do blasts in blood mean leukemia?

20% or more blasts means acute leukemia. There can be less than 20% blasts in the peripheral blood and more than 20% in the bone marrow.

How do you reduce blast cells?

  1. chemotherapy.
  2. targeted therapy.
  3. radiation therapy.
  4. stem cell therapy, also known as bone marrow transplantation.

What do blasts mean on CBC?

A CBC test can find leukemic blood cells, which are called blasts. It can also detect changes in the amount of any type of blood cell. Finding any one of these changes in the blood can suggest the presence of leukemia.

What is the blast stage of leukemia?

Blast phase (also called acute phase or blast crisis) Large clusters of blasts are seen in the bone marrow. The blast cells have spread to tissues and organs beyond the bone marrow. These patients often have fever, poor appetite, and weight loss. In this phase, the CML acts a lot like an acute leukemia.

Do blast cells always mean leukemia?

The most immature cells are called myeloblasts (or blasts). The percentage of blasts in the bone marrow or blood is particularly important. Having at least 20% blasts in the marrow or blood is generally required for a diagnosis of AML.

Is AML the worst leukemia?

Acute myeloid leukemia (AML) is a cancer of the blood and bone marrow. It is the most common type of acute leukemia in adults. This type of cancer usually gets worse quickly if it is not treated.

Which type of leukemia is most fatal?

Patients with the most lethal form of acute myeloid leukemia (AML) – based on genetic profiles of their cancers – typically survive for only four to six months after diagnosis, even with aggressive chemotherapy.

Is AML a death sentence?

AML is one of the more common types of leukemia among adults and is rarely diagnosed in people under age 40. As Dr. Wang explains in this video, AML is no longer considered a death sentence.

Article first time published on

Are blasts in blood normal?

The number of immature cells (blasts) in the bone marrow is usually normal (less than 5%). A small percentage of the red blood cells in the bone marrow (less than 15%) may contain sideroblasts (iron granules that form a ring).

Does everyone have blasts in their blood?

We all have blasts. In fact, each of us started out as a blast or, more precisely, a blastocyst (a jumble of cells that divides enough times to become an embryo). However, when different types of blasts appear in unexpected areas, or when abnormal blasts develop, they can be an indicator of cancer or another disease.

How are blast cells detected?

Peripheral blood smear. In this test, a sample of your blood is examined under a microscope. It checks the number, shape, and size of white blood cells, and looks for immature white blood cells called blasts.

What is a blast crisis?

Listen to pronunciation. (blast KRY-sis) A phase of chronic myelogenous leukemia in which tiredness, fever, and an enlarged spleen occur during the blastic phase, when more than 30% of the cells in the blood or bone marrow are blast cells (immature blood cells).

Is AML curable?

Although AML is a serious disease, it is treatable and often curable with chemotherapy with or without a bone marrow/stem cell transplant (see the Types of Treatment section).

How can you tell the difference between a blast and a lymphocyte?

The cytoplasm is generally very basophilic. However, a careful evaluation of blasts reveals several differences from reactive lymphocytes. Nucleoli are usually more visible and prominent in blasts. The cytoplasmic margins in blast cells are generally not indented and more uniform.

Is AML hereditary?

Heredity or Genetic Factors Familial AML is a rare type of inherited leukemia which is transmitted by a non-sex chromosome in a dominant fashion. Certain genetic conditions can increase the risk for AML. It is very likely that identical twins who develop AML in the first year of life will both develop the disease.

Can leukemia go away on its own?

Leukemia can go away. People sometimes call this a “cure.” But your doctor may use the term “remission” instead of “cure” when talking about the effectiveness of your treatment. Many people who have leukemia are successfully treated, but the term remission is used because cancer can return (recur).

How is blast crisis treated?

Patients in BC should be treated with a tyrosine kinase inhibitor according to mutation profile, with or without chemotherapy, with the goal of achieving a second chronic phase and proceeding to allogeneic stem cell transplantation as quickly as possible.

What causes death in leukemia patients?

Studies show that for leukemia patients, infections were the most common cause of death, most often bacterial infections but also fungal infections or a combination of the two. Bleeding was also a fairly common cause of death, often in the brain, lungs or digestive tract.

What are the 5 stages of leukemia?

  • Stage 0. The blood has too many white blood cells called lymphocytes. This is called lymphocytosis. …
  • Stage I. The blood has too many lymphocytes. …
  • Stage II. The blood has too many lymphocytes. …
  • Stage III. The blood has too many lymphocytes. …
  • Stage IV. The blood has too many lymphocytes.

What were your first signs of leukemia?

  • Fever or chills.
  • Persistent fatigue, weakness.
  • Frequent or severe infections.
  • Losing weight without trying.
  • Swollen lymph nodes, enlarged liver or spleen.
  • Easy bleeding or bruising.
  • Recurrent nosebleeds.
  • Tiny red spots in your skin (petechiae)

How does leukemia start?

Leukemia starts when the DNA of a single cell in the bone marrow changes (mutates) and can’t develop and function normally. Treatments for leukemia depend on the type of leukemia you have, your age and overall health, and if the leukemia has spread to other organs or tissues.

Can leukemia be cured if caught early?

Leukemia is the cancer of the blood-forming tissues that includes bone marrow and lymphatic system. Adults and children are equally affected by Leukemia, which is seen as production of abnormal white blood cells by the bone marrow.

Is dying from AML painful?

What is end-stage AML pain like? One 2015 study found that pain is the symptom people most commonly report during end-stage AML. People with AML may experience bone pain in the arms, hips, ribs, and breastbone as cancer cells overcrowd the bone marrow.

Why is leukemia so painful?

Leukemia or myelodysplastic syndromes (MDS) can cause bone or joint pain, usually because your bone marrow has become overcrowded with cancer cells. At times, these cells may form a mass near the spinal cord’s nerves or in the joints.

How long can you live with AML leukemia?

Generally with AML, around 20 out of 100 people (around 20%) will survive their leukaemia for 5 years or more after their diagnosis.

How long can you live with AML without treatment?

Overall survival for AML Without treatment, survival is usually measured in days to weeks. With current treatment regimens, 65%–70% of people with AML reach a complete remission (which means that leukemia cells cannot be seen in the bone marrow) after induction therapy.

How fast does AML progress?

The symptoms of AML usually develop over a few weeks and become worse over time.

How aggressive is AML leukemia?

AML is an aggressive type of cancer that can develop rapidly, so treatment usually needs to begin soon after a diagnosis is confirmed. Chemotherapy is the main treatment for AML. It’s used to kill as many leukaemia cells in your body as possible and reduce the risk of the condition coming back (relapsing).

Where are blast cells formed?

In healthy people, stem cells and blast cells are found only in the bone marrow.