The Daily Insight.

Connected.Informed.Engaged.

general

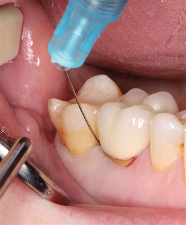
What is a PDL injection

By Andrew Hansen

The tip is placed at the buccal furcation of the tooth. Slide it subgingival parallel to the root surface until it contacts the bone/periodontal ligament area. Push the syringe apically with mild pressure to wedge it into the PDL space. Slowly inject half a rubber stopper amount into this area.

How do you give a PDL injection?

The tip is placed at the buccal furcation of the tooth. Slide it subgingival parallel to the root surface until it contacts the bone/periodontal ligament area. Push the syringe apically with mild pressure to wedge it into the PDL space. Slowly inject half a rubber stopper amount into this area.

How do you give a mental nerve block?

An anesthetic is injected through the skin of the chin into the area around the mental foramen using a small needle. The doctor firmly massages the area for 10-15 seconds. After a few minutes, the area of the mental nerve becomes numb and the procedure can be performed.

Can periodontal injection rescue the failure of IANB injection?

With the understanding that IANB failures are relatively common, PDL injections can help overcome failed IA blocks and/or accessory innervation. Two applications of the PDL technique have been presented here. One is well recognized for supplementing failed anesthesia and providing excellent single-tooth anesthesia.

Is inferior alveolar nerve block effective?

The overall cumulative success rate of preoperative pulpal anesthesia was 80 percent. Intraoperatively, the success of pulpal anesthesia was 72.9 percent. Conclusions: The success of pulpal anesthesia by inferior alveolar nerve block in young permanent teeth with deep caries was low.

Which ligament is most likely to get damaged while giving an inferior alveolar nerve block?

The sphenomandibular ligament may act as a barrier to the agent if the injection is given too shallow and the lingual nerve is only anesthetized. This injection can rarely cause needle tract infections of the pterygomandibular space.

What is intraosseous injection dental?

The intraosseous injection allows placement of a local anesthetic solution directly into the cancellous bone adjacent to the tooth to be anesthetized.

What is inferior alveolar nerve damage?

Symptoms of damage to the inferior alveolar nerve include pain, abnormal sensations, and/or numbness in the chin, lower lip, or around the lower teeth. Some people may drool or have trouble opening their mouths.

How do you know your patient is anesthetized after an inferior alveolar nerve block?

The signs and symptoms of an inferior alveolar block are: Tingling and numbness of the lower lip (however it is not an indication of depth of anesthesia). Tingling and numbness of the tongue (see Lingual Nerve Block). No pain is felt during dental treatment.

When do you need a mental nerve block?

The mental nerve block is particularly useful in lacerations of the skin of the lower lip or chin, avoiding injecting in the injured site that may bring complications such as edema and distortion of the soft tissues [1]. Procedures near the mandibular midline may require a bilateral mental nerve block.

Article first time published on

What does the mental injection numb?

The mental nerve block provides anesthesia only to the lower lip and soft tissue of the chin. It does not anesthetize the teeth, which would require an inferior alveolar nerve block. If the foramen is not directly palpable, the anesthetic can be injected into the buccal mucosa between the 2 lower premolar teeth.

What turns into mental nerves?

The first brachial arch develops into the mandibular nerve, which gives rise to the inferior alveolar nerve and consequently to the mental nerve.

How do you give an MSA injection?

Approach: While retracting the cheek, insert the needle into the aforementioned intersection point at a 45-degree angle, and advance 1-1.5 cm. Aspirate. Slowly inject 2-3 mL of local anesthetic and massage for 10-20 seconds.

Does the dental wand hurt?

Because it is virtually painless, The Wand is a perfect way to numb children for treatment. When we make their dentistry less painful, they will be less likely to develop dental anxiety and more likely to seek the treatment they need to maintain their oral health.

How does a dental wand work?

The Wand uses a small hand piece that looks like a pen. The Wand gives a supply of anaesthetic in a slow comfortable manner. The Wand uses a unique new technology, which is unlike any other. The Wand works at a low pressure and a slow rate that gives an improved anaesthesia.

Is mandibular a block?

A mandibular nerve block is a procedure to numb the lower jaw (mandible) and a part of the mouth and tongue. An anesthetic solution is injected adjacent to the mandibular nerve to block the transmission of pain signals from the mandible to the brain.

How do you block a mandibular nerve?

The inferior alveolar nerve block, a common procedure in dentistry, involves the insertion of a needle near the mandibular foramen in order to deposit a solution of local anesthetic near to the nerve before it enters the foramen, a region where the inferior alveolar vein and artery are also present.

Where do you give a mandibular block injection?

Instead of injecting local anaesthetic solution at the level of the coronoid notch which is approximately 1.0 centimetre above the mandibular occlusal plane insert the needle so that it contacts the medial aspect of the ramus just below the mandibular notch, a point that is 1.5 to 2.0 centimetres above the mandibular …

How long does a buccal nerve block last?

How Long Does a Dental Block Last? A block can last an hour or two, but every situation is unique. You won’t need to do anything special to recover. Still, you should be careful eating and drinking as the block wears off since you might inadvertently bite your tongue or the sides of your cheek.

Where do you inject long buccal nerve blocks?

Apply topical anesthetic as described in the Anesthesia section. Approach: With the thumb of the nondominant hand, pull the cheek laterally. Insert the needle into the anterior border of the ramus 1 mm lateral to the third mandibular molar and in line with the occlusive plane. Advance the needle 3-4 mm.

What does the long buccal nerve supply?

The buccal nerve, often called the long buccal nerve by dentists, supplies sensory information to areas of the face and mouth, specifically the cheeks and the gum areas near the second and third molars.

What are the complications of inferior alveolar nerve block?

  • Allergic reaction to the anesthetic.
  • Toxicity due to anesthetic overdose (eg, seizure, cardiac arrhythmias)
  • Intravascular injection of anesthetic/epinephrine.
  • Hematoma.
  • Neuropathy.
  • Spread of infection, by passing the needle through an infected area.

Where is the inferior alveolar nerve located?

The Inferior Alveolar Nerve (n. alveolaris inferior; inferior dental nerve is the largest branch of the mandibular nerve. It descends with the inferior alveolar artery, at first beneath the Pterygoideus externus, and then between the sphenomandibular ligament and the ramus of the mandible to the mandibular foramen.

When do you give intraosseous injection?

Intraosseous infusions are used when people have compromised intravenous access and need immediate delivery of life-saving fluids and medications.

Do dentists inject into bone?

The intraosseous injection allows placement of a local anesthetic solution directly into the cancellous bone adjacent to the tooth to be anesthetized. There are two intraosseous systems that have been studied clinically—the Stabident® system (Fairfax Dental Inc., Miami, FL) and the X-tip® system (Dentsply, York, PA).

What is Intraligamentary injection?

Intraligamentary anaesthesia (ILA) offers patients a very comfortable alternative. This method covers the anaesthesia requirement across many indications. By injecting the active ingredient directly into the periodontal ligament, it is possible to achieve an immediate and complete anaesthetisation of the single tooth.

Can nerve damage from tooth extraction be repaired?

Nerve injuries in routine dental and oral surgery procedures are rare but treatable with the proper management. A thorough and timely exam is necessary to maximize success rates of surgical repair.

Can a dentist damage a nerve with injections?

In addition to oral nerve damage, dentists who offer IV sedation also run risks of nerve damage in the arm during intramuscular injections. This is rare just like oral injection nerve damage, and when it occurs, it is a notable instance of dental professional malpractice that needs to be taken seriously.

What does dental nerve damage feel like?

Here are some of the most common signs of tooth nerve pain: A dull ache along the gum line. Pain that targets a single tooth or radiates throughout the mouth. Discomfort that worsens after eating, especially following meals that are hot, cold, or acidic.

How long does it take for Ian block to work?

Anesthetic: While it is a common belief that articaine is more effective than lidocaine, no research has been able to demonstrate the advantage. Elapsed time: Onset of lip anesthesia takes about four to six minutes and pulpal anesthesia onset takes 10 to 15 minutes.

What will happen if the mandibular nerve is damaged?

Loss of sensation of the cheek and/or mandibular lip may lead to traumatic injury to the soft tissues during chewing and mastication and may affect the ability to drink. Significant pain may also be associated with these sensory functions, which may be debilitating to the patient.