The Daily Insight.

Connected.Informed.Engaged.

general

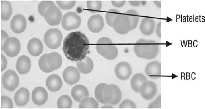
What is RBC WBC platelets

By David Edwards

Blood is composed of red blood cells (RBC), white blood cells (WBC) and blood platelets. These cells and cell fragments are suspended in blood plasma. Abnormal amounts of these components can lead to several symptoms and health problems. These abnormalities can also be caused by an underlying disease.

What is the normal range of RBC WBC and platelets?

In general, the reference ranges are: White blood cells: 4,500 to 11,000 cells per microliter (cells/mcL) Red blood cells: 4.5 million to 5.9 million cells/mcL for men; 4.1 million to 5.1 million cells/mcL for women. Hemoglobin: 14 to 17.5 grams per deciliter (gm/dL) for men; 12.3 to 15.3 gm/dL for women.

What are the 3 types of blood?

  • Platelets help the blood to clot. Clotting stops the blood from flowing out of the body when a vein or artery is broken. …
  • Red blood cells carry oxygen. …
  • White blood cells ward off infection.

What produces RBC WBC platelets?

In the human adult, the bone marrow produces all of the red blood cells, 60–70 percent of the white cells (i.e., the granulocytes), and all of the platelets. The lymphatic tissues, particularly the thymus, the spleen, and the lymph nodes, produce the lymphocytes (comprising 20–30 percent of the white cells).

What are the 4 types of blood cells?

It has four main components: plasma, red blood cells, white blood cells, and platelets.

What does it mean if WBC is higher than RBC?

If an infection develops, white blood cells attack and destroy the bacteria, virus, or other organism causing it. White blood cells are bigger than red blood cells but fewer in number. When a person has a bacterial infection, the number of white cells rises very quickly.

What level of RBC is concerning?

A high red blood cell count is generally considered to be anything above 6.1 million red blood cells for men, 5.4 million for women, and 5.5 for children. Additional tests will help your doctor determine the cause of your high red blood cell count and next steps in your care.

What organ makes red blood cells?

Blood cells are made in the bone marrow. The bone marrow is the soft, spongy material in the center of the bones. It produces about 95% of the body’s blood cells. Most of the adult body’s bone marrow is in the pelvic bones, breast bone, and the bones of the spine.

What are the blood cells that fight infection and disease?

White blood cells are the key players in your immune system. They are made in your bone marrow and are part of the lymphatic system. White blood cells move through blood and tissue throughout your body, looking for foreign invaders (microbes) such as bacteria, viruses, parasites and fungi.

What is the function of RBC?

Red blood cells are responsible for transporting oxygen from your lungs to your body’s tissues. Your tissues produce energy with the oxygen and release a waste, identified as carbon dioxide. Your red blood cells take the carbon dioxide waste to your lungs for you to exhale.

Article first time published on

Is platelets and WBC same?

Your blood is made up of red blood cells, white blood cells, platelets, and plasma. Your white blood cells account for only about 1% of your blood, but their impact is big. White blood cells are also called leukocytes. They protect you against illness and disease.

What is the other name of RBC WBC and platelets?

A blood cell, also called a hematopoietic cell, hemocyte, or hematocyte, is a cell produced through hematopoiesis and found mainly in the blood. Major types of blood cells include red blood cells (erythrocytes), white blood cells (leukocytes), and platelets (thrombocytes).

Which is the most rare blood type?

In the U.S., the blood type AB, Rh negative is considered the rarest, while O positive is most common.

What is normal WBC?

Normal Results The normal number of WBCs in the blood is 4,500 to 11,000 WBCs per microliter (4.5 to 11.0 × 109/L). Normal value ranges may vary slightly among different labs. Some labs use different measurements or may test different specimens. Talk to your provider about your test results.

What happen if white blood cells are high?

White blood cells are vital components of the blood. Their role is to fight infection, and they are essential for health and well-being. A high white blood cell count may indicate that the immune system is working to destroy an infection. It may also be a sign of physical or emotional stress.

What happens when RBC is low?

A low red blood count, or anemia, can cause feelings of fatigue and weakness. When a person has a lower red blood count than is normal, their body has to work harder to get enough oxygen to the cells. A low red blood cell (RBC) count can cause a variety of symptoms and health complications.

What RBC count is considered anemic?

In men, anemia is defined as hemoglobin < 14 g/dL (140 g/L), hematocrit < 42% (< 0.42) , or RBC < 4.5 million/mcL (< 4.5 × 10 12/L). In women, hemoglobin < 12 g/dL (120 g/L), hematocrit < 37% (< 0.37), or RBC < 4 million/mcL (< 4 × 10 12/L) is considered anemia.

What is normal RBC count?

Normal RBC ranges are: Male: 4.7 to 6.1 million cells per microliter (cells/mcL) Female: 4.2 to 5.4 million cells/mcL.

What is an alarming WBC count?

In general, for adults a count of more than 11,000 white blood cells (leukocytes) in a microliter of blood is considered a high white blood cell count.

How do you know if you have a good immune system?

Signs of a strong immune system include patients eating right, maintaining a healthy lifestyle and getting enough sleep. Health care experts in the wellness field are scrambling to keep patients well during a hard-hitting flu season and additional worries about a new coronavirus.

Which organs are part of your immune system?

  • Bone marrow. Bone marrow is a sponge-like tissue found inside the bones. …
  • Thymus. The thymus is located behind the breastbone above the heart. …
  • Lymph nodes. …
  • Spleen. …
  • Tonsils. …
  • Mucous membranes.

Does liver disease affect white blood cell count?

Often white blood cells do not function correctly in patients with liver disease, which can be the result of the white cells not reacting to infection in a normal and effective way or produce an abnormal and exaggerated response leading to liver damage.

Does liver destroy RBC?

Erythrocytes or red blood cell’s life span is 120 days. After 120 days in the circulation, they are removed by macrophages which are a type of myeloid phagocytic cells. They are located primarily in the liver, spleen, and bone marrow. The worn-out RBC is destroyed in the spleen and liver.

What kills red blood cells?

Red blood cells may be destroyed due to: An autoimmune problem in which the immune system mistakenly sees your own red blood cells as foreign substances and destroys them. Genetic defects within the red cells (such as sickle cell anemia, thalassemia, and G6PD deficiency)

What vitamins help build red blood cells?

Your body needs vitamin B12 to make red blood cells.

What is the meaning of RBC in blood test?

A red blood cell (RBC) count is a blood test that tells you how many red blood cells you have. Red blood cells contain a substance called haemoglobin, which transports oxygen around the body.

How do you keep your red blood cells healthy?

  1. red meat, such as beef.
  2. organ meat, such as kidney and liver.
  3. dark, leafy, green vegetables, such as spinach and kale.
  4. dried fruits, such as prunes and raisins.
  5. beans.
  6. legumes.
  7. egg yolks.

What are 3 types of red blood cells?

  • Red Blood Cells (Erythrocytes) Most abundant cells in the blood. …
  • White Blood Cells (Leukocytes) Account for only about 1% of the blood. …
  • Platelets (Thrombocytes)

What is the most common cause of low platelet count?

One of the most common causes of low platelets is a condition called immune thrombocytopenia (ITP). You may hear it called by its old name, idiopathic thrombocytopenic purpura.

What happens when WBC and platelets are low?

Pancytopenia (Low Blood Cells) Pancytopenia is marked by low counts of all three types of blood cells—red cells, white cells and platelets. This condition can be caused by certain medications and by infections. In some cases, it is caused by a cancer or precancerous condition.

What happens if I have low platelets?

People with thrombocytopenia have low platelet levels. Platelets aid blood clotting (stopping bleeding). When platelet levels are low, you may bruise and bleed excessively. Certain cancers, cancer treatments, medications and autoimmune diseases can cause the condition.